• Heim
  • Sérsvið okkar
  • Almennar tannlækningar
  • Börn
  • Um okkur
    • Velkomin
    • Sýn okkar
    • Starfsmenn
    • Hvíttun
    • Forvarnatannlækningar
  • Hafðu samband
Brosið
  • Heim
  • Sérsvið okkar
  • Almennar tannlækningar
  • Börn
  • Um okkur
    • Velkomin
    • Sýn okkar
    • Starfsmenn
    • Hvíttun
    • Forvarnatannlækningar
  • Hafðu samband
Fyrir

Fyrir

Eftir

Eftir

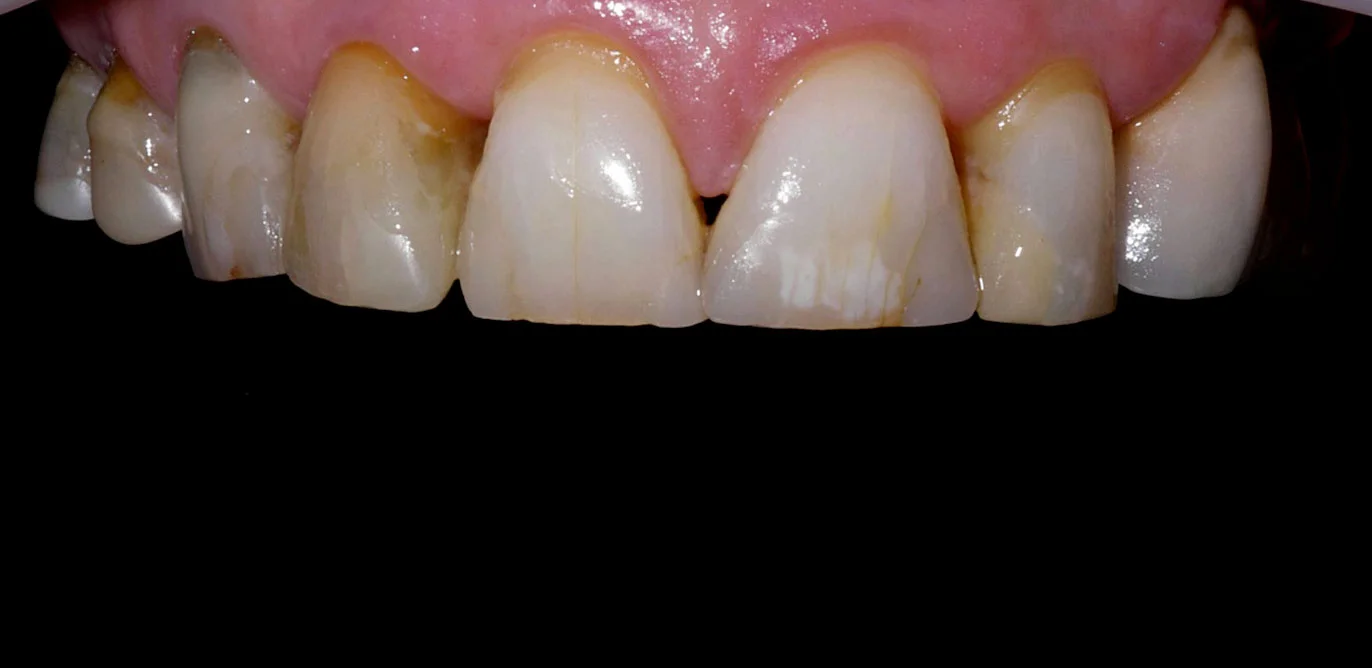
Öldrun tanna / viðbætur/ forvarnir

Viðfangsefni:

Þegar tennur slitna og slit nær í gegnum glerunginn þá verður tannbeinið bert. Tannbeinið tekur í sig lit og slitnar hraðar en glerungurinn.

Meðferð:

Viðbótum var bætt neðan á tennur til að hylja tannbein og koma í veg fyrir frekara slit á tönninni .Viðbæturnar eru settar án þess að taka af eigin tönn, er meðferðin fyrst og fremst hugsuð sem forvarnarmeðferð en að sjálsögðu er útlitslegur ávinningur mikill. Framtíðar meðferð er svo að viðhalda þessari stærð tanna því slit heldur áfram.

Fyrir

Fyrir

Eftir

Eftir

 

Gómbros

Viðfangsefni:
Bros okkar samanstendur af tönnum, tannholdi og vörum. Það truflar suma að sýna mikið tannhold í brosinu en nokkrar ástæður geta verið fyrir gómbrosi. 

Meðferð:
Í þessu tilviki huldi tannholdið of stóran hluta af krónu tannarinnar, það var fjarlægt og krónan kemur betur í ljós. Viðkomandi sýnir meira af tönnum og minna af tannholdi í brosinu.

Fyrir

Fyrir

Eftir

Eftir

Lýsing tanna

Viðfangsefni:

Bjart bros er orðið eftirsóknarvert.
Litur tanna skiptir máli og ljósar tennur líta oftast út fyrir að vera yngri og hreinni.
Við getum ekki öll fengið bjart bros á sama hátt því það geta verið ólíkar ástæður fyrir lit tanna. 

Meðferð:

Í þessu tilviki þar sem viðkomandi hafði ekki fyllingar í framtönnum hentaði að lýsa tennur með lýsingarefnum og fór þessi meðferð fram á stofunni og tók tvær heimsóknir. Oftast þarf svo að skerpa á lýsingunni á 2 ára fresti.

Fyrir

Fyrir

Eftir

Eftir

Öldrun tanna / viðbætur

Viðfangsefni:
Hvernig við sjáum liti og form er að hluta til upplifun svo stundum þarf ekki að breyta miklu til að upplifunin verði önnur.

Meðferð:

Í þessu tilviki voru kanntar neðri góms tanna lagaðir og upplifunin af skekkjunni minnkaði. Bitálag er mikið á þessu svæði og viðhald á þessari meðferð getur verið töluvert. 

Fyrir

Fyrir

Eftir

Eftir

Gnístur

 

Viðfangsefni:

Þeir sem eru með mikið slitnar tennur hafa oft tapað bithæð og þarf þá að hækka bitið svo hægt sé að endurheimta stærð framtanna.

 Meðferð:

Hér var bitið hækkað með því að endurnýja fyllingar á jaxlasvæði og tannlitað fyllingarefni notað til að byggja upp framtennur. Þessi meðferð var valin umfram aðrar svo ekki þyrfti að fjarlægja frekari tannvef af illa slitnum tönnum.

Notast er við tannlitað fyllingarefni umfram postulín því viðkomandi er í áhættu með brot. Auðveldara og ódýrara er að viðhalda þeirri meðferð.

Fyrir

Fyrir

Eftir

Eftir

Öldrun tanna

Viðfangsefni:

Þegar tennur okkar fara að eldast myndast sprungur í glerungnum og geta þær tekið lit .

Meðferð:

Þessum lit er nánast ómögulegt að ná burt með lýsingu og verðum við að hreinsa litinn upp með verkfærum og bæta sprunguna með tannlituðu fyllingarefni eins og gert var í þessu tilviki.

7-eftir.jpg

Krónur og brýr

Viðfangsefni:

Oft er besta meðferðin minnsta meðferðin, það er ekkert betra en eigin tönn. En stundum verður maður að ganga lengra ef fullnægjandi árangur næst ekki með einfaldari lausnum.

Meðferð:

Í þessu tilviki voru tennur krýndar, var það talin besta og varanlegasta meðferðin fyrir þennan einstakling.

Krónur og brýr

Viðfangsefni:

Margt hefur breyst í efnisvali á síðustu 20 árum og gamlar krónur geta verið mjög áberandi.

 Meðferð:

Í þessu tilviki var gömul króna endurnýjuð og skiptir efnisval öllu máli.

9-eftir.jpg

Ein dökk tönn / skel postulín / viðbætur

Viðfangsefni:

Margir eru með eina dökka tönn  og er algeng ástæða sú að búið er að rótfylla viðkomandi tönn með þeim afleiðingum að tönnin dökknaði. Stundum er hægt að ná góðum árangri með því að lýsa þessa tennur on oft þarf frekari meðferð. 

Meðferð:

Hér var um rótfyllta tönn að ræð og var postulínsskel  sett framan á dökku tönnina sem viðbót. þetta er í sumum tilvikum besta leiðin til að fá góðan og stöðugan lit.

10-fyrir.jpg

Skeljar úr postulíni / öldrun tanna

Viðfangsefni:

Með aldrinum slitna tennur, þær dökkna, fá almenna eyðingu, bein rýrnar og tannhold hörfar. Tennurnar fá almenna eyðingu þannin að glerungur þynnist og tónusinn í vörinni minnkar. Við sýnum minna af efrigóms tönnum og meira af neðri gómstönnum með aldrinum.

Við reynum að vinna á móti þessari þróun.

Meðferð:

Hér voru notaðar postulínsskeljar til að yngja útlit tanna. Postulínsskeljar eru dýrari en skeljar úr tannlituðu fyllingarefni en endingin er töluvert lengri. Eiginleikar postulíns eru slíkir að minna fellur á það en eigin tennur og tannlitaðfyllingarefni þ.a.l. varðveitist litur þess mjög vel. 

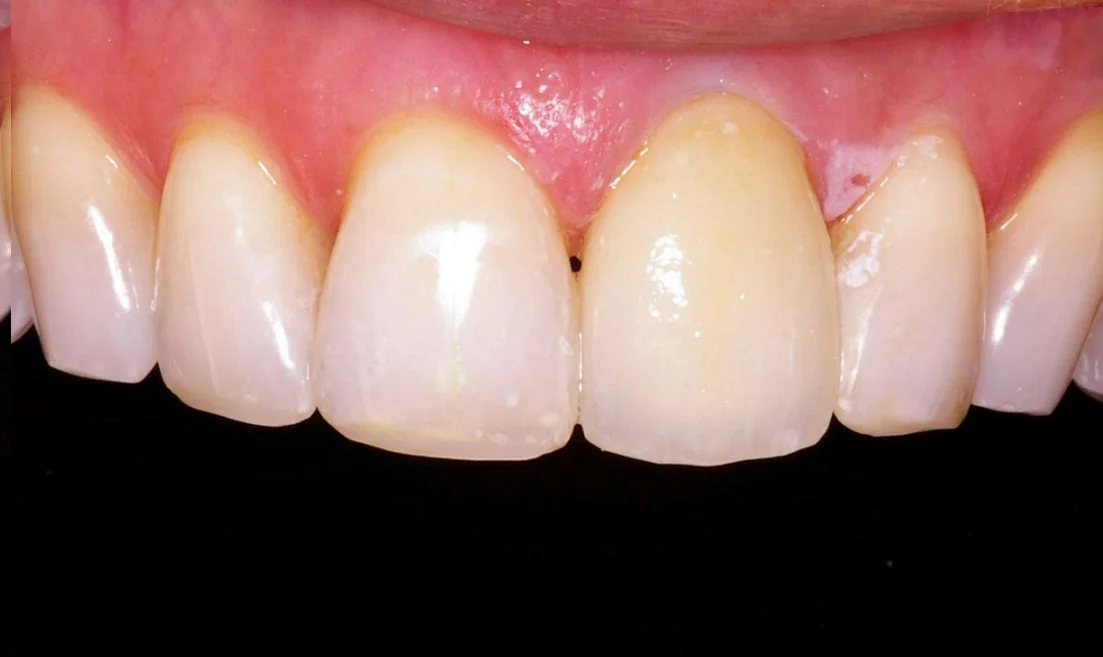
bil milli tanna

Viðfangsefni:

Lítil atriði geta breytt miklu stundum þarf bara litla breytingu til að breyta miklu.

Meðferð:

Hér var bili lokað með tannlituðufyllingarefni og tók meðferðin um 40 mín.

Ódýr og einföld meðferð sem getur oft skilað miklu fyrir viðkomandi.

12-fyrir.jpg
12-eftir.jpg

Bil milli tanna 

Viðfangsefni:

Bil milli tanna geta stundum truflað fólk.

Meðferð:

Í þessu tilviki voru miðframtennur færðar saman og hliðartennur stækkaðar með viðbótum úr tannlituðu fyllingarefni. Til þess að halda í raunveruleikann þá skiptir hlutfall framtannanna lykilmáli.

13-fyrir.jpg
13-eftir.jpg

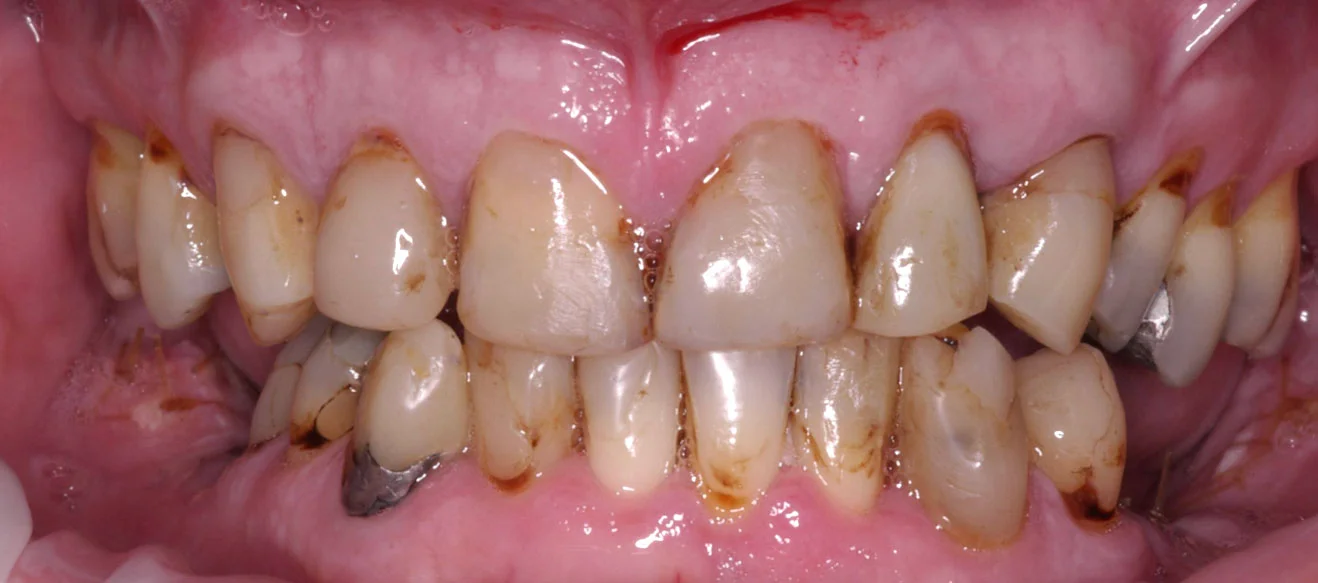
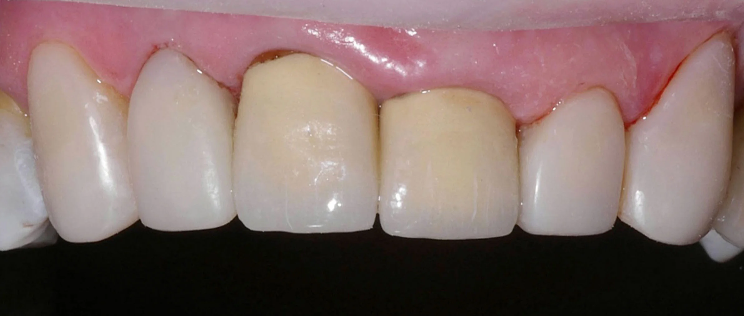
Glerungseyðing

Viðfangsefni / vandamál:

Lágt sýrustig í munninum í langan tíma veldur glerungseyðingu. Eyðingin getur  m.a verið vegna sýrra drykkja,gosdrykkja eða bakflæðis eins og hér. Tennurnar höfðu leyst upp og bithæð minnkað.

 Meðferð:

Meðferðin hér fólst í því að byggja allar tennur upp og hylja tannbeinið með tannlituðu fyllingarefni.  Fyllingarefnið hefur betra viðnám gegn sýrunni og leysist þ.a.l ekki upp líkt og tönnin.

Markmið meðferðar:

Bæta útlit, endurheimta bithæð og fá efni yfir tennur sem efur betra viðnám gegn sýru.

Fyrir

Fyrir

Eftir

Eftir

Fyrir

Fyrir

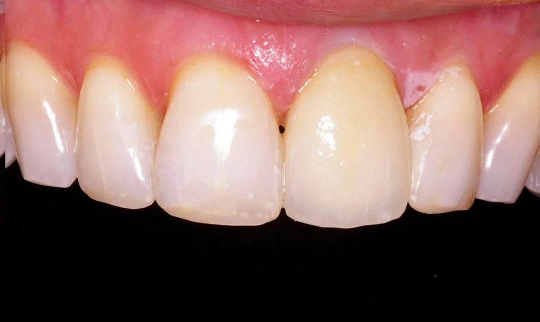
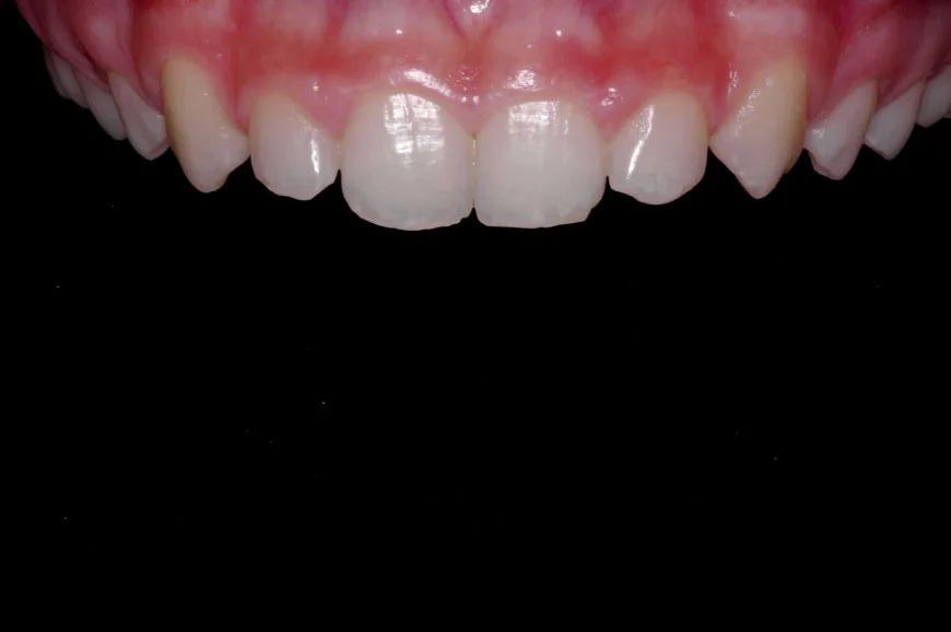
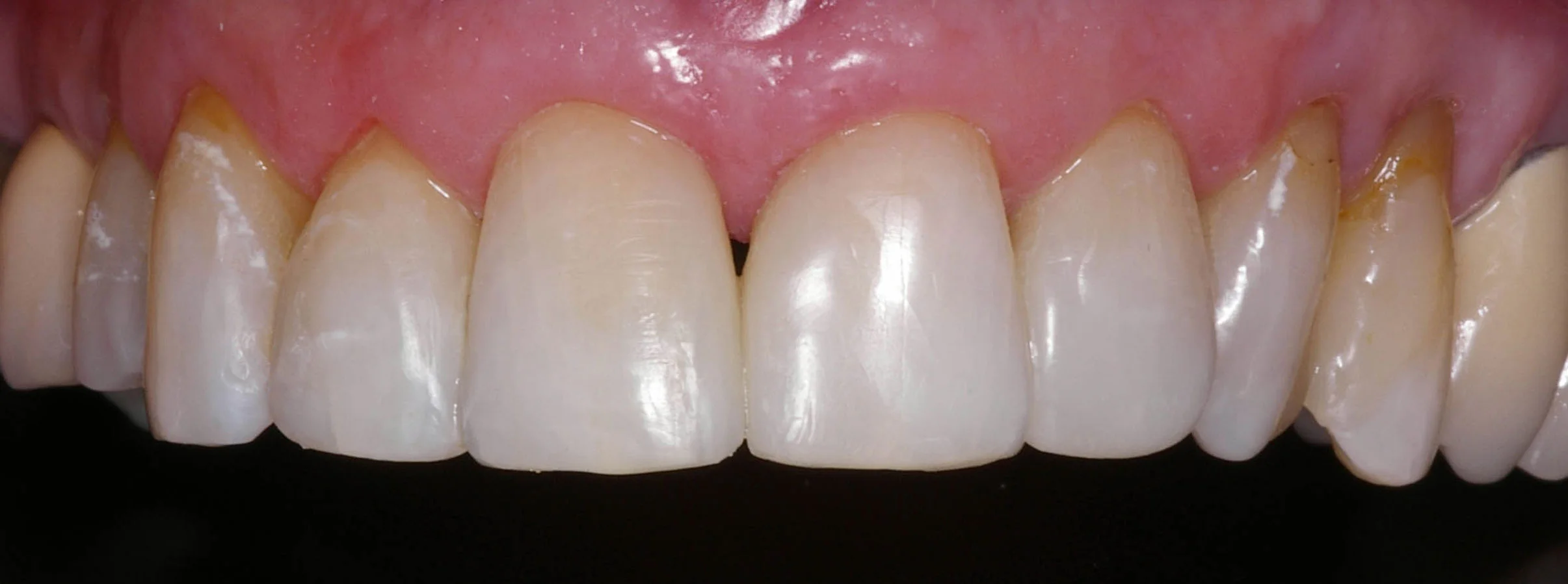
Öldrun tanna / Bil milli tanna

Eftir

Eftir

Viðfangsefni:

Þegar tennur eldast geta þær slitnað mishratt eftir bitmynstri, með þeim afleiðingum að tennur verða missíðar.  Þetta er sérstaklega áberandi ef um miðframtennur er að ræða.

Meðferð:

Þessi meðferð fólst í viðbótum úr tannlituðu fyllingarefni sem bætt var neðan á tennurnar og sídd þeirra jöfnuð. Tennur voru líka breikkaðar til að loka bilinu í miðjunni. Þetta gefur heillegar og yngra bros. Eitt að hlutverkum viðbótanna er að verja tennurnar fyrir frekara sliti. 

Viðhald:

Viðbæturnar koma svo til með að slitna við notkun líkt og eigin tennur gerðu en þá er meðferðin endurtekin. 

Fyrir

Fyrir

Eftir

Eftir

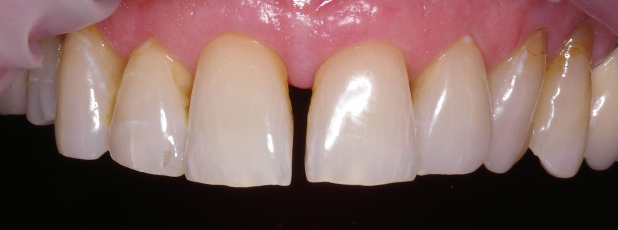
Öldrun tanna / Skeljar úr tannlituðu fyllingarefni

Viðfangsefni:

Þegar tennur eru orðnar mjög mislitar vegna mismunandi fyllingarefna og littöku fæst oft ekki fallegt útlit nema með skeljum eða krónum.

 

Meðferð:

 Hér var ákveðið að gera skeljar úr tannlituðu fyllingarefni til að bæta útlit, spara tannvef og kostnað. Hér er ekkert tekið af eigin tönn einingis bætt við, þannig reynum við að varðveita sem mest af eigin tönn.

 

Viðhald:

Viðhald á skeljum úr tannlituðu fyllingarefni er auðvelt en áætlaður endingartími á þeim er ekki eins langur og á postulínsskeljunum en þær eru mun ódýrari og meðferðin tekur styttri tíma. 

Fyrir

Fyrir

Eftir

Eftir

Öldrun tanna/ skeljar tannlitað fyllingarefni

Viðfangsefni:

Oft er hægt að gera einfaldar aðgerðir til að láta bros líta betur út án þess að ganga alla leið þegar það er ekki hægt. Hér voru krónurnar misháar og eitthvað sem getur truflað en ákvörðun var tekin um að fyrsta skref yrði frekar að laga aðlægar tennur því efrihluti miðframtanna sést ekki í brosinu.

Meðferð:

Meðferð var kláruð í einni heimsókn. Seinna er svo hægt að skipta út krónunum í miðjunni, gera þær líkari hvor annari og raunverulegri.

16-fyrir.jpg

Brosið tannlæknastofa - Hlíðasmári 19, 4. hæð - S: 566 6406 - brosid@brosid.is