• Heim
  • Sérsvið okkar
  • Almennar tannlækningar
  • Börn
  • Um okkur
    • Velkomin
    • Sýn okkar
    • Starfsmenn
    • Hvíttun
    • Forvarnatannlækningar
  • Hafðu samband
Brosið
  • Heim
  • Sérsvið okkar
  • Almennar tannlækningar
  • Börn
  • Um okkur
    • Velkomin
    • Sýn okkar
    • Starfsmenn
    • Hvíttun
    • Forvarnatannlækningar
  • Hafðu samband

Tannhreinsun – Tannleysi – Tannplantar – Tannvöntun – Fyllingar – Brotin tönn – Töpuð tönn

Almennar tannlækningar

 

Á stofunni sinnum við öllum almennum tannlækningum. Það er okkar markmið að hjálpa þér að viðhalda heilbrigðum tönnum alla ævi.

Til að sem bestur árangur náist þarf reglulegt eftirlit og fræðslu, svo hægt sé að taka á þeim vandamálum sem upp kunna að koma eins fljótt og auðið er. Þannig takmörkum við mögulegan skaða og höldum tönnunum eins heilbrigðum og kostur er.

Tannhreinsun

Normal
0




false
false
false

EN-US
JA
X-NONE

 
 
 
 
 
 
 
 
 
 


 
 
 
 
 
 
 
 
 
 
 


 <w:LatentStyles DefLockedState="false" DefUnhideWhenUsed="true"
DefSemiHidden="true" DefQFormat="false" DefPriority="99"
LatentStyleCount="276">…

Í þessu tilviki, þar sem tannsteinninn hefur hlaðist upp, er tannhold bólgið og blæðandi. Ef ekkert er gert tapast tennurnar á endanum. 

Tannhreinsun er það mikilvægasta sem við getum gert fyrir tannheilsu okkar. Hún hjálpar okkur að halda tönnunum heilbrigðum alla ævi.

Tannsteinn og bólgið tannhold veldur meðal annars andremmu og beintapi.
Það sem ákvarðar lit tanna er annars vegar litur tannbeins og hins vegar yfirborðslitur tanna. Yfirborðslitur tanna stjórnast m.a. af dökkum drykkjum, reykingum og óhreinindum ýmiss konar sem setjast á tennur sem og tannsteinn.

Almenn tannhreinsun, þar sem yfirborð tanna og róta þeirra er hreinsað, bætir ekki einungis útlit og lýsir tennur, heldur er hún einnig nauðsynleg til að viðhalda heilbrigði tanna og tannveggs. Tannatap vegna beineyðingar er algengasta ástæðan fyrir tannmissi og er tannsteinn einn af aðal áhættuþáttunum í því ferli. Oft er almenn tannhreinsun einnig nægileg til að viðhalda fallegum og hvítum tönnum.

Tannleysi

Fyrir

Fyrir

Eftir

Eftir

Viðfangsefni:
Tannleysi á sér oftast stað á löngu tímabili og oftast með þeim afleiðingum að bit og eftirstandandi tennur færast úr stað eða skekkjast. Þess vegna þarf alltaf að skoða hvaða breytingar hafa átt sér stað á þeim tönnum sem eftir eru og oftast þarf að laga stöðu þeirra áður en lengra er haldið. Hér var viðkomandi tannlaus í efri gómi en með sínar tennur í neðri gómi, þær höfðu færst mikið úr stað en efri gómur var smíðaður í bit við neðri góm og fékkst þá þetta útlit.

Meðferð:
Hér þurfti að laga neðri góminn fyrst til að fá ásættanlegt útlit á efri góminn. Brosið er okkur mjög mikilvægt og staðsetning tanna getur haft mikið að segja um líðan okkar og sjálfstraust.

Tannplantar – Gervirót

 

Með tilkomu tannplantanna hafa opnast nýjar dyr í tannlækningum. Í dag er það engin spurning, að gott er að hafa þessa góðu lausn þegar ein tönn tapast og  bylting að fá fastar tennur eftir að hafa verið með lausar.

Tannplantar
– Meðfædd tannvöntun

 
 

Þegar um svona tilvik er að ræða er ekki hægt að setja tannplanta (gervirót) fyrr en viðkomandi hefur lokið vexti. Eftir tannréttingar var plöntum komið fyrir og nokkrum mánuðum síðar voru tennur smíðaðar á þá. Kosturinn við þessa meðferð er sá að nýjar tennur komu í stað þeirra sem vantaði, án þess að óþarfa meðferð væri framkvæmd á aðliggjandi tönnum.

Fyllingar

silfur-fyrir.jpg
silfur-eftir.jpg

Í flestum tilfellum tannskemmda eða smárra brota er nóg að gera við með fyllingum. Við notum tannlituð fyllingarefni svo tönnin verði sem heillegust aftur.

Tannskemmdir myndast vegna aðstæðna í munni; þessar aðstæður eru myndaðar af bakteríum, matarleifum og sýrustigi munnsins. Í hvert skipti sem við borðum eða drekkum (eitthvað annað en vatn) lækkar sýrustigið, það er því æskilegt að borða reglulega yfir daginn en halda öllu narti í lágmarki. Það gefur tönnunum tíma til að jafna sig á milli máltíða og minnkar líkurnar á að tannskemmd myndist. Ef tannskemmd myndast eða tönn brotnar er nauðsynlegt að laga það. Stundum sjáum við sjálf eða finnum að skemmd er komin í tönn. Þetta á þó ekki alltaf við því tannskemmdir eru hljóður sjúkdómur – þar til skemmdin er orðin stór.

Þess vegna er nauðsynlegt að koma í reglulegu eftirlit og láta taka röntgenmydir. Röntgenmyndir hjálpa okkur að greina tvo mjög hljóða „sjúkdóma“, þeir eru báðir hljóðir þar til þeir eru mjög langt gengnir.

Með myndum náum við að greina þá á fyrri stigum og spörum þannig óþægindi, útgjöld og missi á tannvef eða tönn.

Einnig er mjög mikilvægt að hirða tennurnar, bursta þær tvisvar sinnum á dag með flúortannkremi og nota tannþráð og flúormunnskol. 

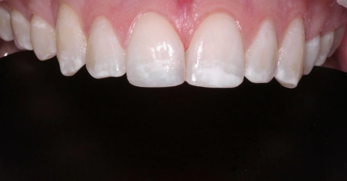
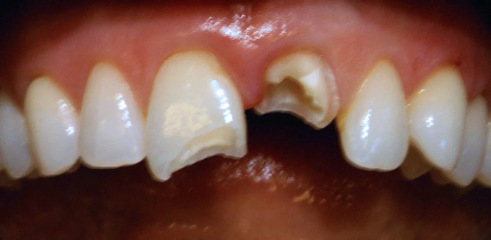
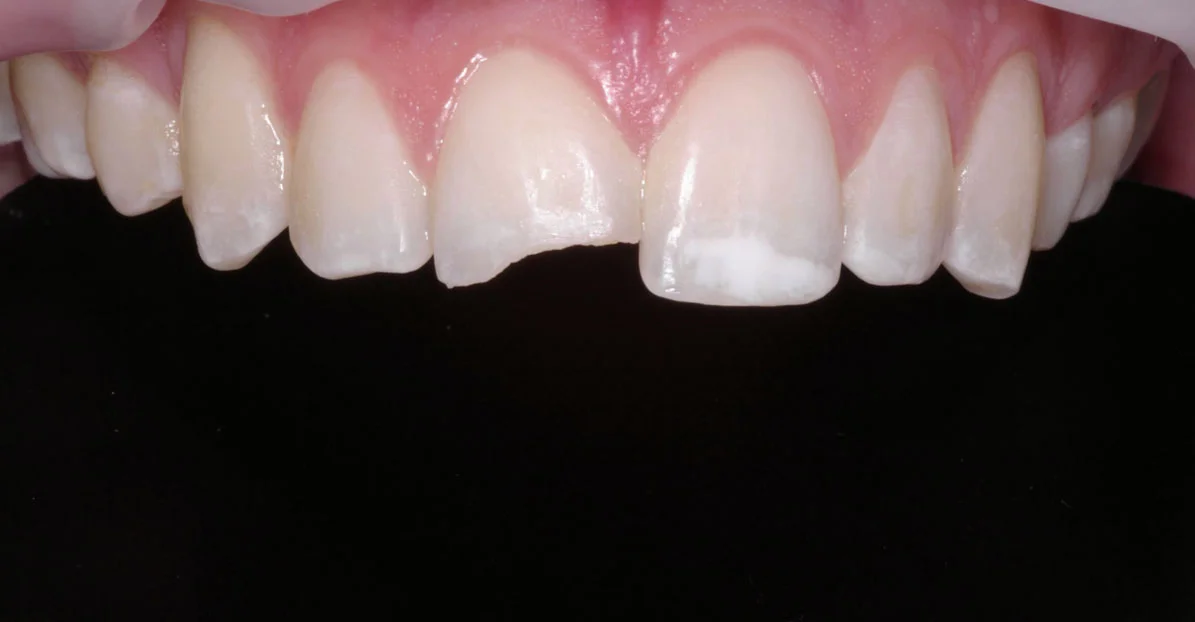
Slys – Brotin tönn

Viðfangsefni:
Þegar óhapp á sér stað og hluti tannar tapast er alltaf best að fá brotið og líma það aftur á, því ekkert verður betra í þessu tilviki en tönnin sjálf. 

Meðferð:
Oft finnast þó brotin ekki, eins og í þessu tilviki, en þá var tönnin byggð upp með viðbót úr tannlituðu fyllingarefni. Kostur viðbóta er að þær spara eftirstandandi tannvef því ekki þarf að taka af eigin tönn til að bæta þeim á. Svo geta þær verið mjög raunverulegar ef lögð er vinna í þær. Fegurðin felst í að ná sem eðlilegustum tönnum.

Slys – Töpuð tönn

Tannplanti - Röntgenmynd

Tannplanti - Röntgenmynd

Viðfangsefni:
Eftir slys getur verið erfitt að endurheimta raunverulegt útlit, sérstaklega í þeim tilvikum þar sem tennur tapast. 

Meðferð:
Hér var komið fyrir tannplanta eftir að rót tapaðist. Síðar voru krónur smíðaðar á tannplantann og eigin tönn sem brotnað hafði.

 

 

 

 

 

 

Brosið tannlæknastofa - Hlíðasmári 19, 4. hæð - S: 566 6406 - brosid@brosid.is