• Heim
  • Sérsvið okkar
  • Almennar tannlækningar
  • Börn
  • Um okkur
    • Velkomin
    • Sýn okkar
    • Starfsmenn
    • Hvíttun
    • Forvarnatannlækningar
  • Hafðu samband
Brosið
  • Heim
  • Sérsvið okkar
  • Almennar tannlækningar
  • Börn
  • Um okkur
    • Velkomin
    • Sýn okkar
    • Starfsmenn
    • Hvíttun
    • Forvarnatannlækningar
  • Hafðu samband
Fyrir

Fyrir

Eftir

Eftir

Almennar tannlækningar

Allar almennar tannlækningar eru stundaðar á stofunni. Hér væri gott að skrifa texta um sérstakar áherslur, og forvarnarnálgunina sem markar sérstöðu stofunar.

Tannhreinsun

27-.jpg

Viðfangsefni:

Það sem ákvarðar lit tanna er annarsvegar litur tannbeins og hinsvergar yfirborðslitur tanna .Yfirborðslitur tanna orsakast af dökkum drykkjum, reykingum og óhreinindum ýmiss konar sem setjast á tennur sem og tannstein.

Meðferð:

Almenn tannhreinsun þar sem yfirborð tanna og róta þeirra er hreinsað bætir ekki einungis útlit og lýsir tennur, heldur er einnig nauðsynleg til að viðhalda heilbrigði tanna og tannvegs, tanntap af völdum beineyðinga er orðn algengasta ástæðan fyrir tannmissi og er tannsteinn einn af stóru áhættuþáttunum í því ferli. Oft er þessi meðferð líka nóg til að viðhalda fallegum og hvítum tönnum.

Fyrir

Fyrir

Eftir

Eftir

Ein dökk tönn / viðbætur  - færa

Viðfangsefni:

Oft er erfitt að eiga við lit á einni dökkri tönn, og eiga þær til að dökkna aftur.

 

Meðferð:

Hér var tönn lýst með heimalýsingu í 4 vikur. Viðbætur voru settar á tennur og tannholdi var aðlagað. Til að viðhalda þessu útliti þarf að skerpa á lýsingunni og bæta á slitfleti eftir þörfum. 

29-fyrir.jpg
29-eftir.jpg

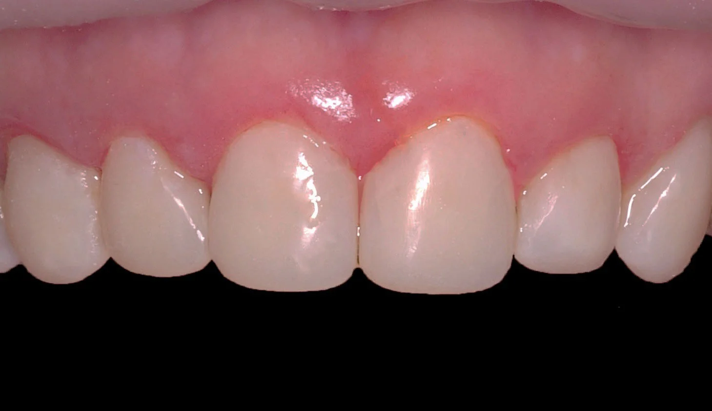
Formbreyting / viðbætur - færa

Viðfangsefni:

Mjög algengt er að slit sjáist á miðframtönnum, þetta eru þær tennur sem eru mest áberandi í munninum. Okkur finnst mjög mikilvægt að auka ekki á eyðingu tanna með því að taka af tönnum sem eru slitnar fyrir og veljum því að bæta á  þær til að varðveita það sem eftir er af tönninni. 

Meðferð:

Í þessu tilviki voru viðbætur settar á miðframtennurnar og reynt var að endurheimta fyrra útlit.  

31-fyrir.jpg
31-eftir.jpg

Tannleysi

Viðfangsefni:

Tannleysi á sér oftast stað á löngu tímabili og oftast með þeim afleiðingum að bit og eftirstandandi tennur færast úr stað eða skekkjast. Þess vegna þarf alltaf að skoða hvaða breytingar hafa átt sér stað á þeim tönnum sem eftir eru og oftast þarf að laga stöðu þeirra fyrst áður en lengra er haldið. Hér var viðkomandi tannlaus í efri en með sínar tennur í neðri, þær höfðu færst mikið úr en efrigómur var smíðaður í bit við neðrigóm og fékst þá þetta útlit.

 

Meðferð:

Hér þurfti að laga neðri góminn fyrst til að fá ásættanlegt útlit á efri góminn. Brosið er okkur mjög mikilvægt og staðsetning tanna getur haft mikið að segja um líðan okkar og sjálfstraust.

Tannplantar

Með tilkomu tannplantanna þá opnuðust nýjar dyr í tannlækningum og í dag er það engin spurning að gott er að hafa þessa góðu lausn þegar ein tönn tapast og  bylting að fá fastar tennur eftir að hafa verið með lausar.

Meðferð:

þegar um svona tilvik er að ræða er ekki hægt að setja tannplanta (gerfirót) fyrr en viðkomandi hefur lokið vexti. Eftir tannréttingar var plöntum komið fyrir og nokkrum mánuðum seinna voru tennur smíðaðar á þá. Kosturinn við þessa meðferð er nýjar tennur komu í stað þeirra sem vanntaði án þess að óþarfa meðferð væri framkvæmd á aðliggjandi tönnum.

Fyllingar

Þær eru frábærar.

Eftir

Eftir

Fyrir

Fyrir

Slys

Viðfangsefni:

Eftir slys getur verið erfitt að endurheimta raunverulegt útlit, sértstaklega í þeim tilvikum sem tennur tapast. 

Meðferð:

Hér var komið fyrir tannplanta eftir að rót tapaðist. Síðar voru krónur smíðaðar á tannplantann og eigin tönn sem brotnað hafði.

 

 

 

 

 

 

Brosið tannlæknastofa - Hlíðasmári 19, 4. hæð - S: 566 6406 - brosid@brosid.is